胰腺癌是什么? 胰腺有内分泌和外分泌两种功能,来自内分泌细胞的癌,叫神经内分泌癌,比较少见,乔布斯便死于这种癌症。神经内分泌癌多数情况下恶性程度比较低,病程比较长,治疗方式 [详情]
时间:2016-10-11 14:32:59
浏览(386)
★
收藏
“我老公是去年10月份查出结肠癌晚期广泛转移盆腔腹膜,多家医院就医无望,北京301医院告诉我:只有三个月生命了,辗转了解到广州圣丹福医院开展粒子植入术治疗恶性肿瘤,于是带着最后一 [详情]
时间:2021-11-09 16:06:37
浏览(246)
★
收藏
一、活动内容 免费讲座 早防早治 广州圣丹福医院将邀请中国乳腺癌专家开展乳腺癌预防与治理巡回讲座活动,可提前通过网络、微信、电话等方式到医院预约登记报名。 免费援助 善行天下 早 [详情]
时间:2016-10-01 09:18:51
浏览(407)
★
收藏
春风十里,不如你的健康美丽,宠爱自己,定期做妇科体检开始 [详情]
时间:2021-03-12 11:28:45
浏览(175)
★
收藏
3.8女神节 HAPPY WOMENS DAY 情人节刚过完 Duang的一下 3.8“女神节”就要到了! 话说,每个女人都拥有多重身份 母亲、妻子、女儿、女上司、 女同学、女友、萌妹子、 女汉子、女王…… 但是在这 [详情]
时间:2021-03-12 11:26:59
浏览(236)
★
收藏
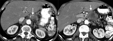
姓名:刘乐安(化名),76岁
国籍:美国
病症:胰腺癌III期(肿瘤/瘤/转移阶段),4.1X4.1X3,5cm
疗效:病人按照一般住院病人观察48个小时。手术后他没要求使用任何镇痛药物而且他的饮食在24小时之内就恢复正常饮食。病人在第二次消融后24小时出院并没有疼痛感和并发症。胰腺癌肿块已基本消失。
[详情]
时间:2016-09-21 10:13:00
浏览(456)
★
收藏
广州圣丹福医院是一所汇聚中外医疗精粹的二级综合医院。医院坐落于广州市繁华的黄埔大道888号,坐拥CBD核心地段,毗邻知名学府暨南大学,并享有三地铁环绕的立体交通网络,为患者及家属提供了极大的便利。在硬件设施上,广州圣丹福医院建筑面积近20000平方米,规划床位300张,构建了一个宽敞、现代的诊疗空间。医院始终秉持“高端视野、精医惠民”的宗旨,依托国际化管理团队与前沿医疗技术,整合医疗、科研与预防保健功能。作为一家注重技术赋能与专家团队的医疗机构,广州圣丹福医院云集众多医疗专家,致力于为每一位患者提供高品质、高效率的诊疗体验。选择广州圣丹福医院,即是选择一份可靠与安心的健康保障。
医院地址:
广州市天河区黄埔大道西888号
国防大厦西楼(南院区)
广州市天河区沙河濂泉路42号
(北院区)
固话:020-22222222
邮编:510000
免费班车班次:
广州岗顶地铁口D出口





